Prosthodontic Care in San Francisco, CA, Where Healthy Smiles Start.
Welcome to Mont Dental Aesthetics, your new dental home.
We are eager to meet you and help you improve your oral health.
Reach out to us today!
Welcome to Mont Dental Aesthetics, your new dental home. We are eager to meet you and help you improve your oral health. Reach out to us today!




YOUR SPECIALIST
Dr. Alireza Khoshvaghti
Dr. Kosh completed a three-year prosthodontic residency with advanced training in full-mouth reconstruction, implant-supported restorations, and complex aesthetic cases. He brings a meticulous, detail-driven approach to every treatment plan.
After years of specialized training beyond dental school, along with ongoing research in dental aesthetics, Dr. Kosh founded Mont Dental Aesthetics to offer a level of care often associated with academic centers in a private, patient-centered setting.
"Every case is a collaboration between science and artistry. My role is to ensure the result is indistinguishable from nature."
Our Exceptional Services
General Dentistry
General dentistry focuses on routine care like exams, cleanings, and fillings to keep your teeth and gums healthy and prevent problems early.
Cosmetic Dentistry
Cosmetic dentistry improves the appearance of your smile with treatments like whitening, veneers, and bonding.
Implant Dentistry
Implant dentistry replaces missing teeth with secure, natural-looking dental implants that restore your smile, and improve function.
New Patients Welcome!
Our New Patient Special
$200 OFF
Includes a comprehensive exam, full-mouth x-rays,
and dental cleaning
New Patients Welcome!
Our New Patient Special
$200 OFF
Includes a comprehensive exam, full-mouth x-rays, and dental cleaning
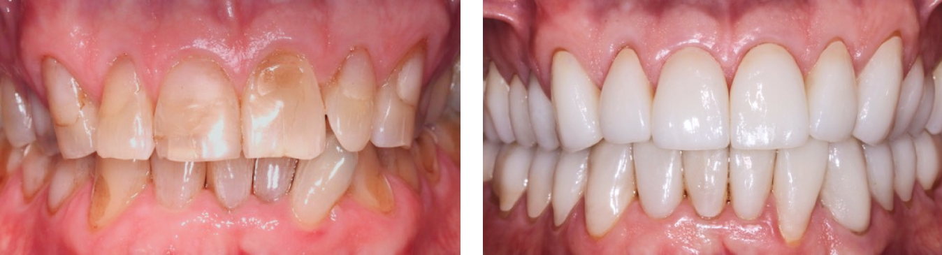
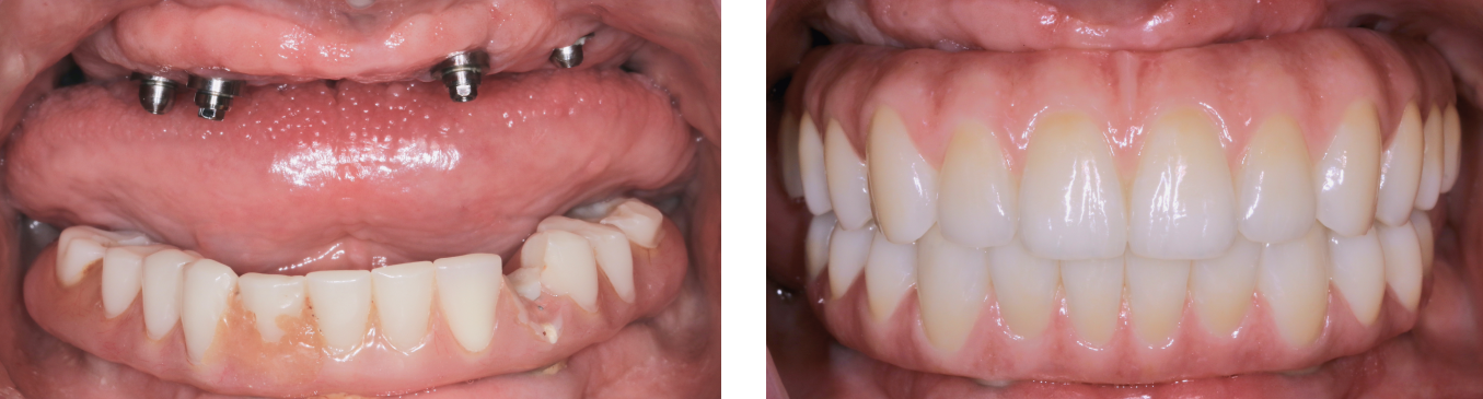
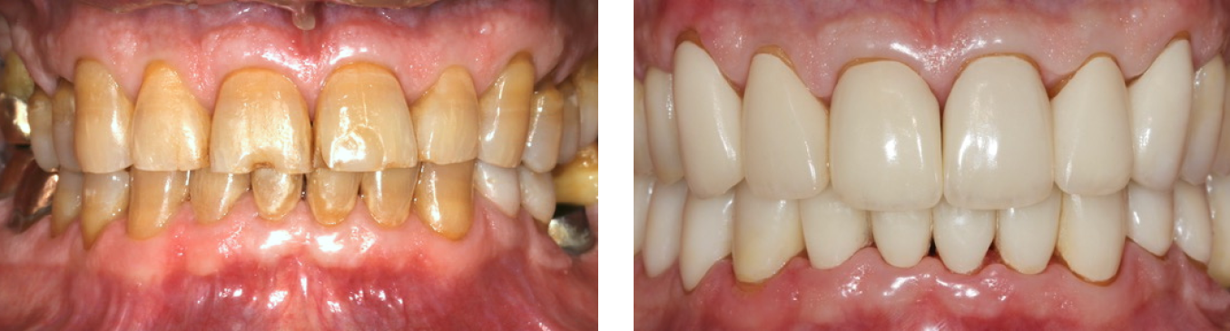
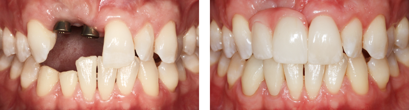
Selected Cases
Fixed Implant Supported Complete Dentures

Front Teeth Dental Implants

Crowns, Veneers, Dental Implants and Gum Lift

TESTIMONIALS
Read Our Five-Star Reviews

"Great experience, got my front two chipped teeth filled with care and precision. Dr Khosh, Kevin, Jose, Roya, and Diana gave me wonderful care. I feel confident about my Smile now!"
Krishna Bheda
google REVIEWS

Very satisfied with the service provided. Everyone there was professional and genuinely cared about people. Easy 5 stars. Special thanks to Kevin and Doc Kosh.
Crystal Human
google REVIEWS

I chipped my front tooth pretty bad and was worried about my tooth not looking the same as before. Dr.Khosh and his staff did a great job with the procedure. I highly recommend this great team!
Alex Guardado
google REVIEWS

"Great experience, got my front two chipped teeth filled with care and precision. Dr Khosh, Kevin, Jose, Roya, and Diana gave me wonderful care. I feel confident about my Smile now!"
Krishna Bheda
google REVIEWS

Very satisfied with the service provided. Everyone there was professional and genuinely cared about people. Easy 5 stars. Special thanks to Kevin and Doc Kosh.
Crystal Human
google REVIEWS

I chipped my front tooth pretty bad and was worried about my tooth not looking the same as before. Dr.Khosh and his staff did a great job with the procedure. I highly recommend this great team!
Alex Guardado
google REVIEWS
Get in Touch
We Are Located Across Union Square Garage and a Short Walk From Powell Station
You deserve to have a healthy and beautiful smile, and our dentist and team are ready to help you reach your goals. We are easily accessible by BART, and parking is a cinch in and around our building. If you have any questions about coming into our office or what your smile needs, do not hesitate to reach out. We are here for you!